Blog

×

Warnung

JUser: :_load: Fehler beim Laden des Benutzers mit der ID: 293

Anzeige der Artikel nach Schlagwörtern: überkronung

Mittwoch, 18 November 2015 15:21

Toter Nerv

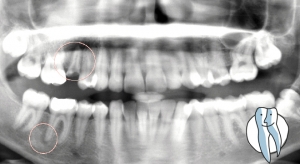
Der Nerv ist tot, was passiert mit dem Zahn?

Ein Zahn leidet unter einer tiefen Karies, der empfindliche Nerv wird so stark gereizt, dass er sich entzündet. Diese Entzündung breitet sich bis in den umliegenden Knochen aus, mit der Folge, dass auch ausserhalb des Zahnes Nerven und Blutgefässe erst entzünden, dann absterben. In der Folge wird der Zahn von innen nicht mehr durchblutet, somit nicht mehr ernährt, das Immunsystem des Zahnes ist nur noch stark vermindert wirksam. Der Zahn wird dunkel und spröde, eine Füllung ist nur noch schwer dauerhaft zu verkleben. In den meisten Fällen raten wir zu einer Wurzelkanalbehandlung mit anschliessender Überkronung.

Publiziert in Zahnschädigung

Über uns

Zahnarztpraxis für Privat- und Kassenpatienten für Osterholz-Scharmbeck, Ritterhude, Bremen und Nord-Niedersachsen.

Seitenbesucher

Aktuell sind 533 Gäste und keine Mitglieder online

Seitenzugriffe

Beitragsaufrufe
600459
Wir benutzen Cookies

Wir nutzen Cookies auf unserer Website. Einige von ihnen sind essenziell für den Betrieb der Seite, während andere uns helfen, diese Website und die Nutzererfahrung zu verbessern (Tracking Cookies). Sie können selbst entscheiden, ob Sie die Cookies zulassen möchten. Bitte beachten Sie, dass bei einer Ablehnung womöglich nicht mehr alle Funktionalitäten der Seite zur Verfügung stehen.