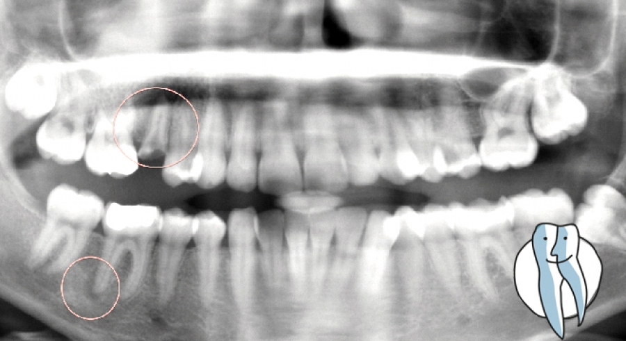
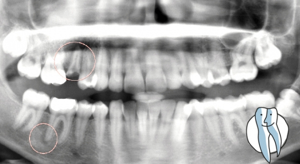
Das Absterben muss nicht einmal mit deutlichen Schmerzen verbunden sein. Wenn das Nerv- und Gefässbündel, die sogenannte Pulpa, erst einmal gereizt ist, können wir Zahnärzte von aussen nur schlecht behandeln. In den meisten Fällen stirbt der Nerv in der Folge ab. Es muss aber nicht immer mangelnde Zahnpflege die Ursache sein: Auch Verletzungen des Zahnes durch einen Unfall oder nächtliches Knirschen kann zu einer Überbelastung führen.
Der abgestorbene Zahn fällt auch nicht zwangsläufig aus, häufig merkt der Betroffene gar nichts am Zahn. Es kommt zu einer leichten Aufbissempfindlichkeit, zu einer gesteigerten Heiss/Kalt-Empfindlichkeit. Unser Tipp ist daher, auch bei leichten Beschwerden diesen Zahn kontrollieren zu lassen. Oft bringt ein Röntgenbild eine Entzündung an der Wurzelspitze zutage.
